7 Indications for Selecting Ceramic Implants
1. Patients with allergies to metals
2. Patients with personal inclination towards wellness life choices
3. Patients with holistic life style
4. Patients suffering from auto immune diseases
5. Patients with high esthetic demands
6. Patients with thin bio-type
7. Patients with high smile line
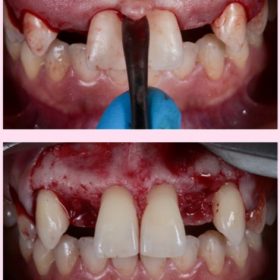
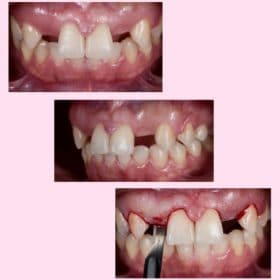
The following case illustrates 5 important components of placement and restoration of two-piece Zeramex XT implants:
Step 1: Pre-surgical 3D planning.
Step 2: Pre-prosthetic 3D planning.
Step 3: Surgical steps from incision to implant placement.
Step 4: Table of insertion torque value.
Step 5: Prosthetic components and final restoration.
Get the book






Previous image
Next image
